Was sind Kreidezähne?
Kreidezähne sind Zähne mit einem Zahnschmelzdefekt. Die Erkrankung betrifft bislang ausschließlich Kinder, entweder bei Kleinkindern die Milchzähne oder bei größeren Kindern die bleibenden Zähne.

Milchmolaren-Hypomineralisation oder Molaren-Inzisiven-Hypomineralisation?
Erkrankt sind meistens die Schneide- und/oder Backenzähne (Molaren).
Zahnmediziner sprechen von Milchmolaren-Hypomineralisation (MMH), wenn Milchzähne betroffen sind, und von Molaren-Inzisiven-Hypomineralisation (MIH) bei bleibenden Zähnen.
Laut Sechster Deutscher Mundgesundheitsstudie (DMS 6) ist in Deutschland etwa jedes siebte Kind (15,3 Prozent) im Alter von 12 Jahren betroffen. Die meisten (63,3 Prozent) leiden unter milden Formen. Bei den Studienergebnissen zu MIH ist jedoch zu beachten, dass kieferorthopädische Fälle nicht mit einbezogen wurden, da bei ihnen die Backenzähne nicht sicher beurteilbar waren. Die tatsächlichen Zahlen könnten deshalb höher sein.
Woran erkennt man Kreidezähne?
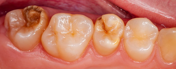
Kreidezähne haben Verfärbungen, je nach Schweregrad weißlich-hell bis zu bräunlich-dunkel. Die Zähne können bei der Berührung mit Warmem, Kaltem und/oder Süßem empfindlich sein und/oder schmerzen. Je nach Schweregrad der Erkrankung sind die Zähne porös, bröselig, bekommen Risse oder brechen ab, zum Beispiel beim Essen. Das tut weh!
Generell hängen die Symptome zusammen: Je dunkler die Flecken auf den Zähnen, desto poröser ist die Zahnsubstanz. Gleichzeitig ist die Gefahr größer, beim Zubeißen oder Zähneputzen Zahnschmelz zu verlieren. Im schlimmsten Fall splittert der Schmelz bis zum Dentin ab. Wie berührungsempfindlich das Dentin ist, wissen Erwachsene, die verlängerte Zahnhälse haben (z.B. aufgrund von Parodontitis).
Eine Folge von Kreidezähnen kann auch sein, dass das Kind das Essen verweigert, da Kauen wehtut. Auch das Zähneputzen kann schwierig sein, da die Berührung mit der Zahnbürste schmerzt. Das Zähneputzen mit Fluorid ist jedoch umso wichtiger, um zu vermeiden, dass die angegriffenen Zähne auch noch Karies bekommen.
Stand: 24.03.2025