Zahn- und Kieferfehlstellungen
Zahn- und Kieferfehlstellungen können genetisch bedingt sein, sie können aber auch im Laufe der Jahre, z.B. durch Fehlfunktionen, entstehen oder als Kombination von beidem auftreten. Bei einer korrekten Zahnstellung und Kieferlage passen Ober- und Unterkiefer in allen drei Raumebenen perfekt zusammen.
Um das genaue Ausmaß zu bestimmen, fertigt der Kieferorthopäde aus Abformungen des Ober- und Unterkiefers ein Gebissmodell an.Eine Panoramaröntgenaufnahme liefert Informationen über alle Zähne. Zusätzlich wird ein Fernröntgenseitenbild des Schädels erstellt. Damit können Größe, Form und Wachstumsrichtung des Ober- und Unterkiefers und deren Lage zueinander bestimmt werden.
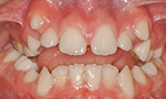
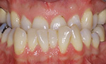
Die häufigsten Fehlstellungen
Nach Prüfung der Funktionen des Gebisses, wie zum Beispiel des Ineinanderpassens der Zahnreihen oder der Funktion des Kiefergelenks, steht fest, welche der folgenden Fehlstellungen vorliegt:
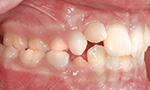
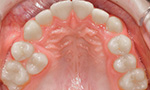
Unterzählige Zähne
Ein Zahn oder mehrere Zähne sind von Natur aus nicht angelegt.
Überzählige Zähne
Es sind von Natur aus zu viele Zähne angelegt, die sich gegenseitig am Durchbruch hindern.







